बिलासपुर [जनहित न्यूज़]
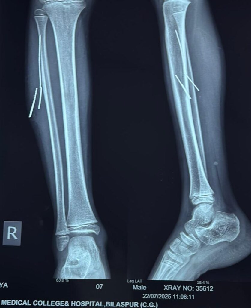
सिम्स (छत्तीसगढ़ आयुर्विज्ञान संस्थान) बिलासपुर ने एक बार फिर अपनी चिकित्सकीय दक्षता और तकनीकी संसाधनों का शानदार उदाहरण पेश किया है। यहां 10 वर्षीय बालक के पैर में गहराई तक धंसे लोहे के चार तारों को ऑपरेशन के दौरान सोनोग्राफी की सहायता से सफलतापूर्वक बाहर निकाला गया।

जटिल मामला, सूझबूझ भरा समाधान
लमेर निवासी 10 वर्षीय आदित्य खांडे के साथ यह घटना चार माह पहले घटी थी जब वह साइकिल चला रहा था। साइकिल का टायर फटने से बाहर निकला लोहे का तार उसके दाहिने पैर में घुस गया और मांसपेशियों में टूटकर फंस गया। दर्द और सूजन लगातार बनी रही, लेकिन जब यह असहनीय हो गया तो परिजन सिम्स के सर्जरी विभाग पहुँचे।

सटीक पहचान और रणनीतिक योजना
सर्जरी विभाग के वरिष्ठ सर्जन डॉ. बी.डी. तिवारी ने स्थिति की गंभीरता को देखते हुए एक्स-रे और सोनोग्राफी की जांच करवाई। जाँच में यह स्पष्ट हुआ कि चार लोहे के टुकड़े 2 से 5 सेमी की लंबाई में मांसपेशियों में धंसे हुए हैं और संक्रमण की आशंका भी बढ़ चुकी है।
ऑपरेशन का निर्णय लिया गया, लेकिन जटिलता को देखते हुए ऑपरेशन के दौरान रेडियोलॉजी विभाग की मदद ली गई। विभागाध्यक्ष डॉ. अर्चना सिंह के मार्गदर्शन में असिस्टेंट प्रोफेसर डॉ. अमन अग्रवाल ने ऑपरेशन थिएटर में ही लाइव सोनोग्राफी कर तारों की सटीक स्थिति को चिन्हित किया।

टीमवर्क की ताकत रेडियोलॉजी और सर्जरी विभाग के इस तालमेल की बदौलत सर्जन डॉ. ओ.पी. राज और डॉ. बी.डी. तिवारी ने न्यूनतम चीरफाड़ के साथ सभी चारों तार सफलतापूर्वक निकाल दिए। ऑपरेशन के दौरान एनेस्थीसिया विभागाध्यक्ष डॉ. मधुमिता मूर्ति, डॉ. भावना रायजादा, डॉ. मयंक अग्रे, डॉ. श्वेता कुजूर और डॉ. मिल्टन ने भी महत्वपूर्ण भूमिका निभाई।
संस्थान का गौरव, भविष्य के लिए प्रेरणा
सिम्स अधीक्षक डॉ. रमनेश मूर्ति और चिकित्सा अधीक्षक डॉ. लखन सिंह ने पूरी टीम को दी बधाई।

